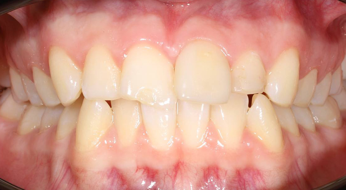
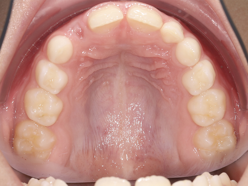
Примеры работ
Выравнивание скученных зубов и исправление прикуса на самолигирующих брекетах
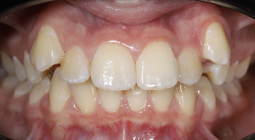
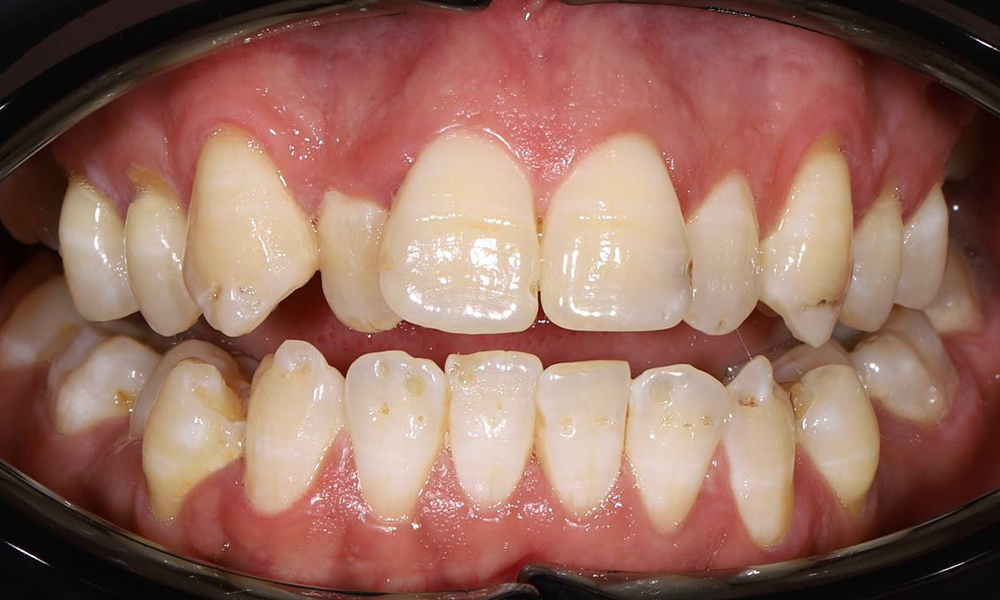
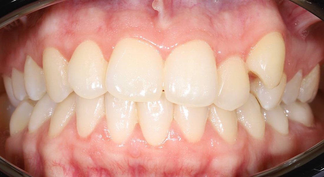
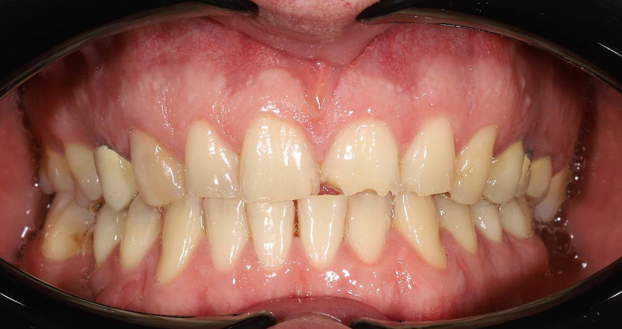
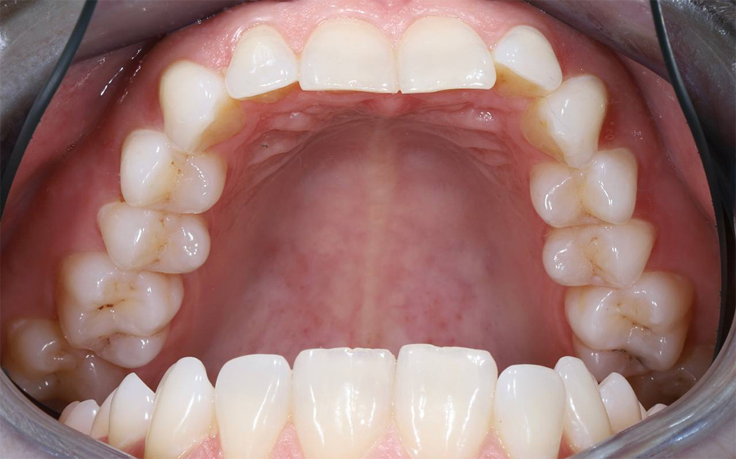
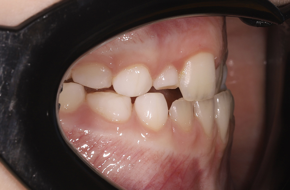
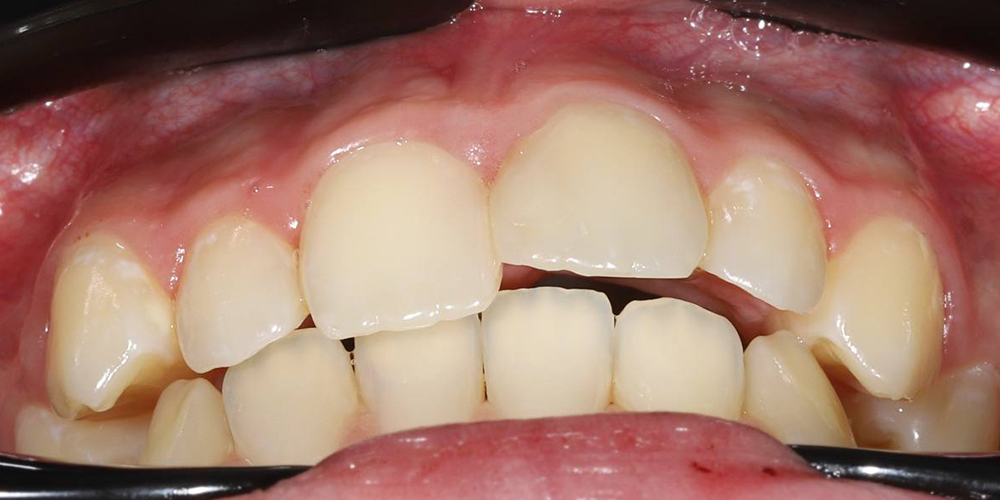
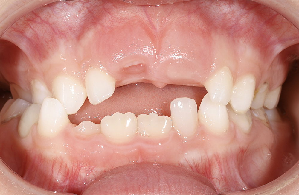
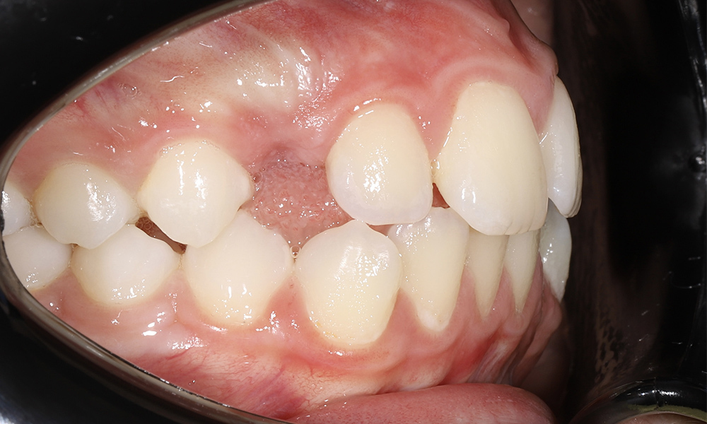
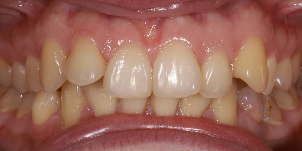
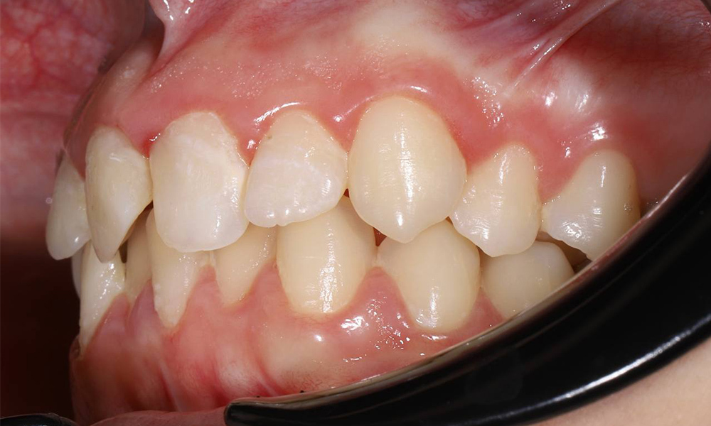
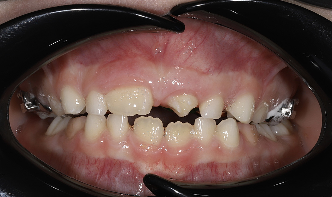
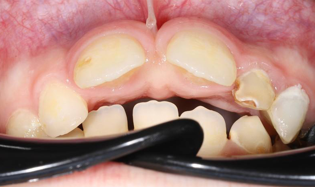
Восстановление правильного положения боковых резцов после отклейки ретейнера с помощью капп
Коррекция прикуса и выравнивание зубных рядов у подростка несъёмной ортодонтической техникой
Комплексное ортодонтическое лечение у девушки с множественными нарушениями прикуса на фоне врождённой адентии боковых резцов
Два этапа ортодонтического лечения у семилетней пациенткиот сложного нарушения прикуса до коррекции положения языка
Исправление перекрестной окклюзии у ребёнка в сменном прикусе без хирургии
Коррекция прикуса и выравнивание зубов в подростковом возрасте
Комплексная ортодонтическая коррекция сочетанной аномалии прикуса с ботулинотерапией и использованием опорных минивинтов
Клинический случай коррекции глубокого прикуса с ретрузией фронтальных зубов на системе прозрачных капп
Комплексное исправление прикуса и выравнивание зубов у взрослого пациента на самолигирующих брекетах
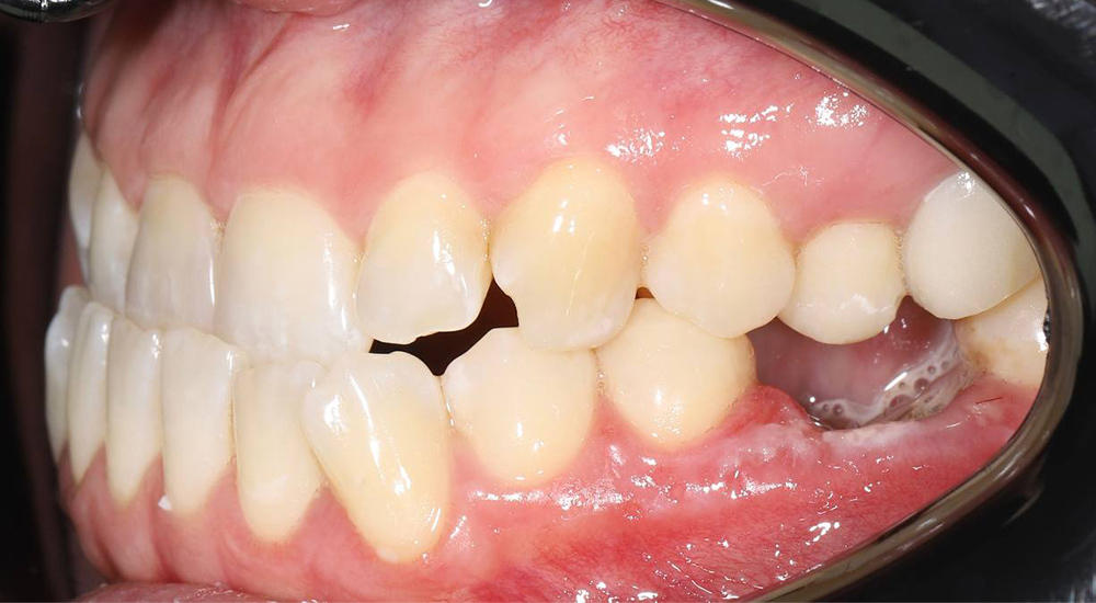
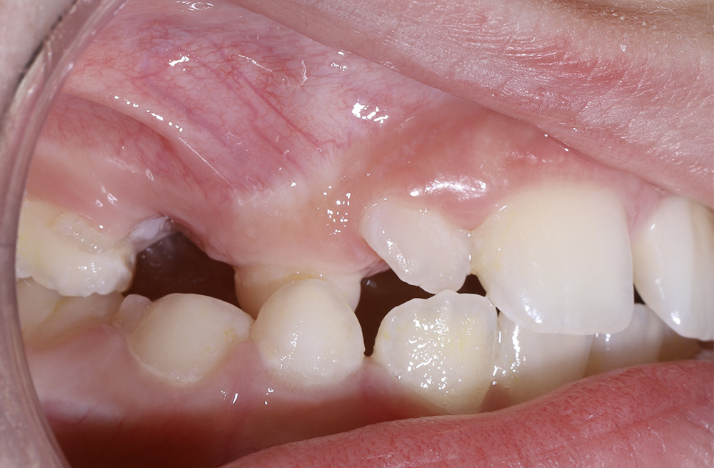
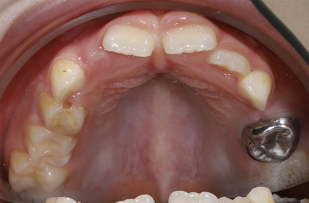
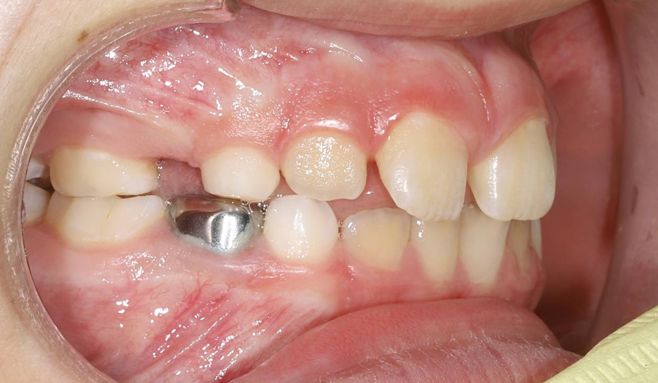
Ортодонтическая подготовка к имплантации при недостатке места на нижней челюсти
Коррекция дефицита пространства для постоянного зуба ортодонтическим методом
Коррекция открытого прикуса и миофункциональных нарушений у ребенка 7 лет
Системное ортодонтическое лечение для нормализации смыкания и положения зубов
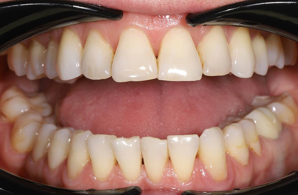
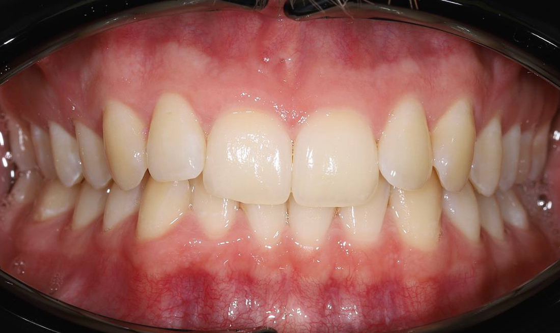
Ортодонтическое лечение с одновременным протезированием для создания идеальной улыбки
Восстановление правильной окклюзии и ровного зубного ряда брекетами Даймон Q2
Исправление сужения зубных рядов аппаратом Хааса у пациента 7 лет
Исправление глубокого прикуса и выравнивание зубов брекетами без операции
Исправление неправильного прикуса и замена устаревших реставраций для гармоничной улыбки
Ортодонтическая подготовка к имплантации при смещении боковых зубов
Комплексная реабилитация при скелетных и зубных нарушениях с использованием элайнеров и имплантации
Лечение глубокого травматического прикуса с применением гнатологической подготовки и брекетов
Комплексное ортодонтическое лечение глубокого прикуса и дистальной окклюзии на несъемной аппаратуре
Создание условий для правильного прорезывания постоянных зубов при сужении зубных рядов у ребёнка
Ортодонтическое лечение с генерализованным пародонтитом
Лечение мезиальной окклюзии и нормализация положения зубных рядов у ребенка
Исправление неровных зубов и недостатка места для зубов у подростка
Выравнивание нижних зубов элайнерами
Коррекция прикуса с устранением скученности зубов и смещения нижней челюсти через гнатологическое и ортодонтическое лечение
Комплексная коррекция мезиальной окклюзии у ребенка с решением проблем дыхания
Коррекция положения зуба 4.2 при врожденной адентии и смещении коронки
Исправление глубокого прикуса с установкой съемной ортодонтической пластинкидля правильного развития челюстей
Исправление проблем с прикусом у подростка с помощью несъемных брекетов Damon Q2
Эстетическая коррекция улыбки брекетами Damon Clear 2 совместно с Damon Q2
Подготовка места для импланта через устранение смещения зубов с помощью брекетов на минивинтах
Исправление перекрестной окклюзии и расширение верхней челюсти ребенку
Коррекция прикуса и выравнивание зубов брекетами Experience подростку
Коррекция зубочелюстных аномалий брекетами у подростка
Исправление неровных зубов у ребенка с использованием частичной брекет-системы 2х4
Внедрение зубов верхней челюсти для последующего протезирования
Лечение металлическими брекетами Damon Q2
Ортодонтическое лечение брекет-системой Damon Q2 у подростка
Скелетное расширение верхней челюсти у подростка с жалобами на нарушение носового дыхания
Подготовка к имплантации с помощью брекетов Experience
Лечение на ортодонтической съемной пластинке у ребенка
Ортодонтическое лечение у ребенка на несъемном аппарате HAAS
Лечение на элайнерах FlexiLigner
Лечение на брекет-системе с последующей ортопедической реабилитацией
Лечение на металлической брекет-системе
Ортодонтическое лечение на керамической брекет-системе
Ортодонтическое лечение металлическими брекетами Damon Q2
Лечение на съемной пластинке на верхнюю челюсть у ребенка 7 лет
Комплексное ортодонтическое лечение ребенка 8 лет со сверхкомплектным центральным резцом
Исправление неправильного прикуса в раннем возрасте