Примеры работ
Первый визит к стоматологическому гигиенисту в 20 лет
Осветление эмали до эстетически комфортного оттенка методом кабинетного отбеливания
Глубокая чистка полости рта при выраженных отложениях курящего пациента
Комплексная гигиена полости рта при полном игнорировании чистки зубов
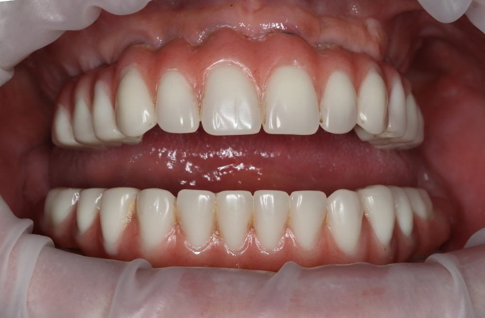
Профессиональная чистка съемного зубного протеза на четырех имплантах
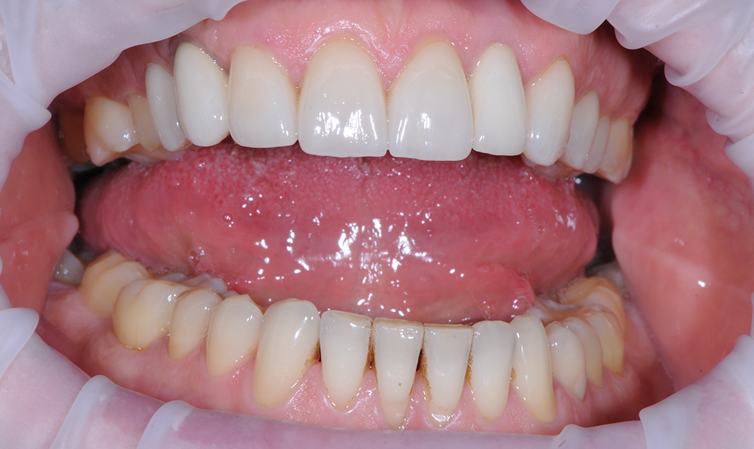
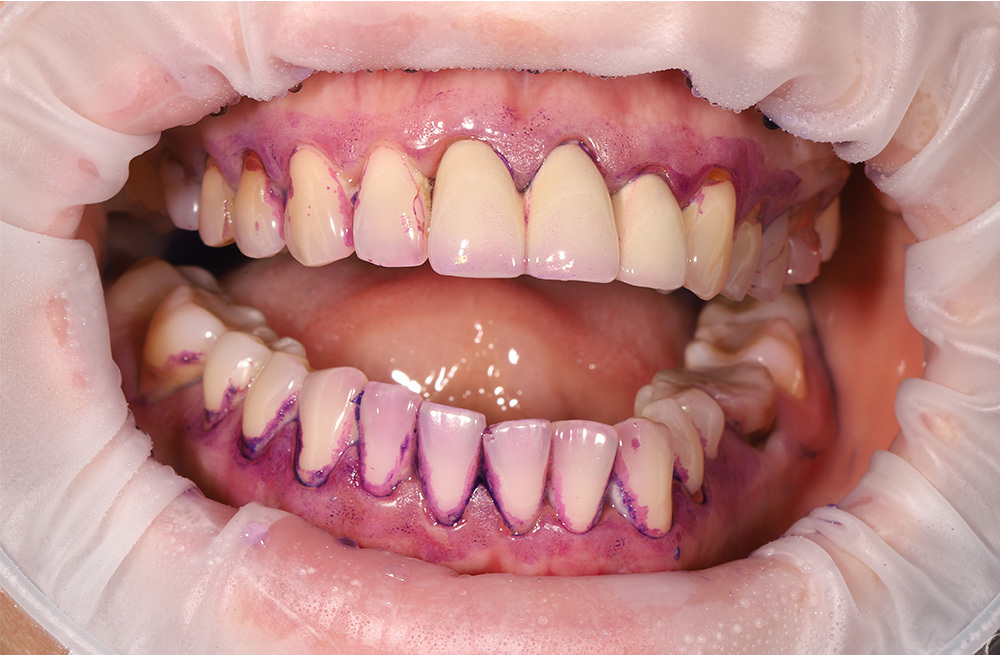
Комплексная гигиена полости рта у пациента с несъёмными конструкциями
Комплексная гигиена полости рта для пациента со съемными конструкциями
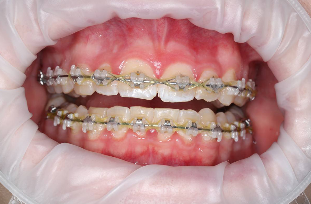
Профессиональная чистка зубов подростку с брекетами
Профессиональная гигиена зубов после двухлетнего перерыва
Комплексная гигиена полости рта
Процедура профессиональной гигиены полости рта на аппарате Air Flow
Удаление пигментированного зубного налета методом Air Flow
Профессиональная чистка зубов Air Flow и ультразвуком
Удаление зубного камня и налета