Примеры работ
Тотальная реабилитация пациента с ятрогенными поражениями корней по схеме 6 на 6 и надёжной балочной конструкции
Финальный ортопедический этап – установка постоянных циркониевых конструкций с керамическим покрытием
Завершение полной реабилитации – фиксация постоянных циркониевых протезов на 12 имплантах Osstem по методике "Все на 6"
Восстановление жевательной группы зубов швейцарским имплантатом и цельнокерамической реставрацией
Завершающий ортопедический этап – несъемный циркониевый протез на 6 имплантах верхней челюсти и виниры на нижней
Восстановление жевательной группы зубов имплантацией Osstem и протезированием цирконием
Подготовка к постоянному протезированию – примерка прототипов будущих зубов после остеоинтеграции имплантов
Эстетическое протезирование передней группы зубов коронкой E-max и композитной реставрацией
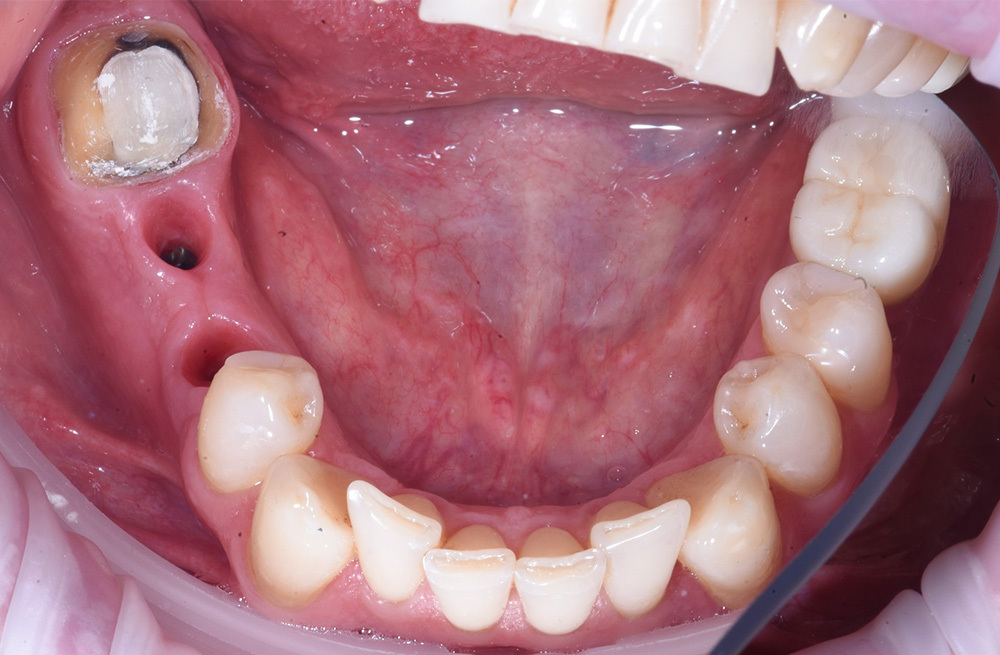
Замещение отсутствующего жевательного зуба имплантом Straumann и циркониевой реставрацией
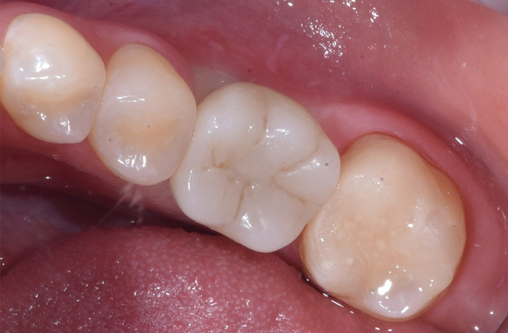
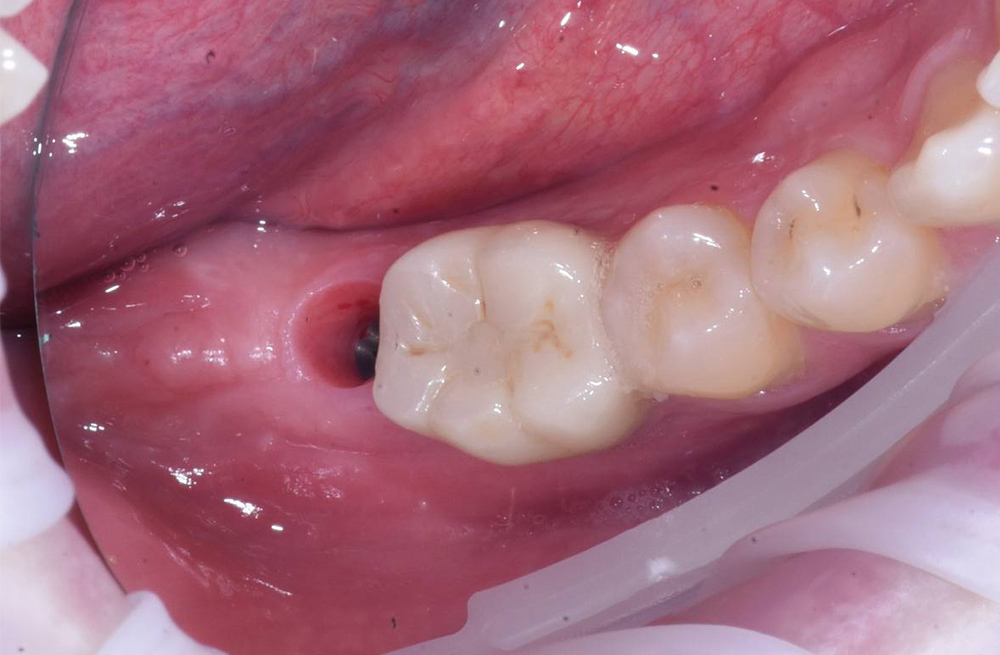
Имплантация нижнего моляра системой Osstem с протезированием циркониевой коронкой
Эстетическая реставрация зуба композитным виниром и замещение отсутствующего зуба имплантом Straumann с циркониевой коронкой
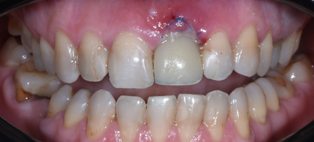
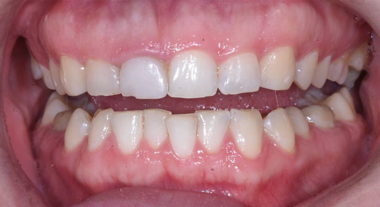
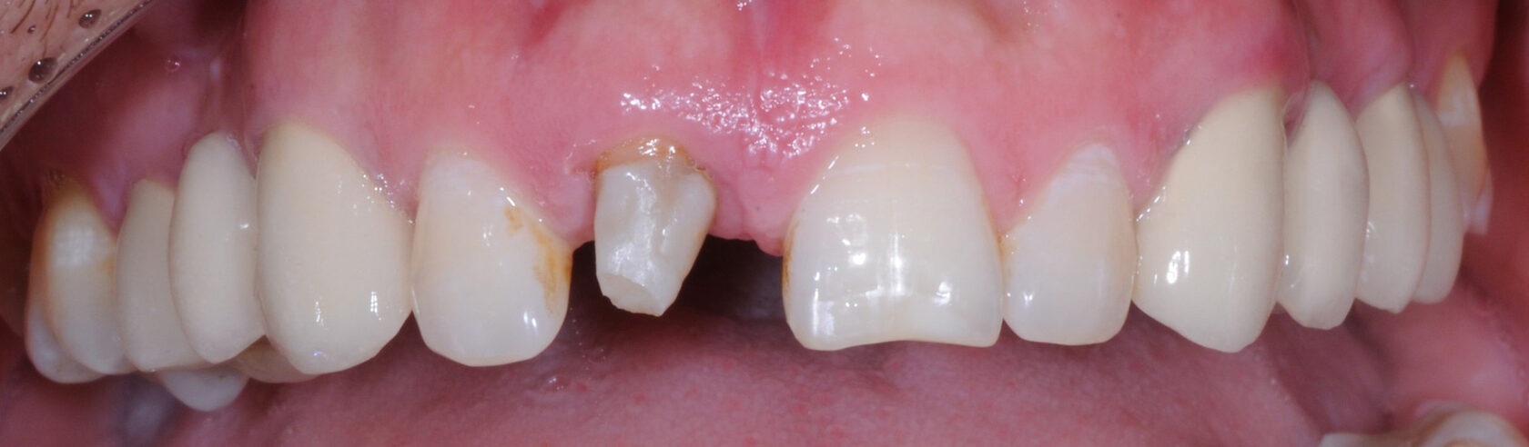
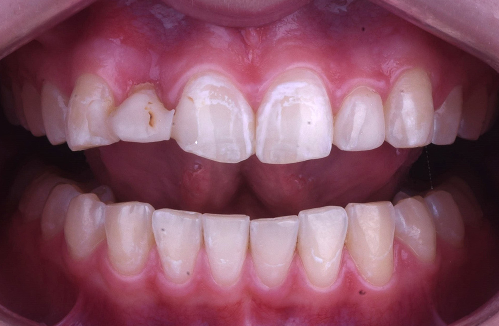
Имплантация сломанного переднего зуба с немедленным протезированием коронкой в зоне улыбки
Замена сколовшейся пломбы на жевательном зубе циркониевой коронкой
Восстановление зубного ряда обеих челюстей с имплантацией All-on-6 Osstem
Комплексная реабилитация верхней челюсти после удаления зубов и лечения кисты
Замена металлокерамических реставраций на цельноциркониевые с опорой на импланты
Восстановление зубного ряда у пациента с применением имплантов Osstem и циркониевых коронок
Реставрация зубов с минимальной обточкой и максимальным эстетическим эффектом винирами Emax
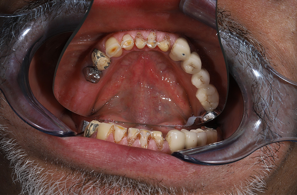
Комплексная имплантация и временное протезирование при значительной потере зубов
Восстановление зубного ряда через протезирование циркониевой коронкой на импланте Osstem
Восстановление жевательной функции с помощью одномоментной имплантации
Восстановление зубного ряда с помощью имплантации и временной конструкции
Совершенная улыбка благодаря винирам Emax
Имплантация Hiossen после удаления сломанного зуба
Сохранение зубов с дентальным микроскопом и установкой циркониевых коронок
Решение проблемы отсутствующего зуба на нижней челюсти с применением системы Osstem и установкой циркониевой коронки
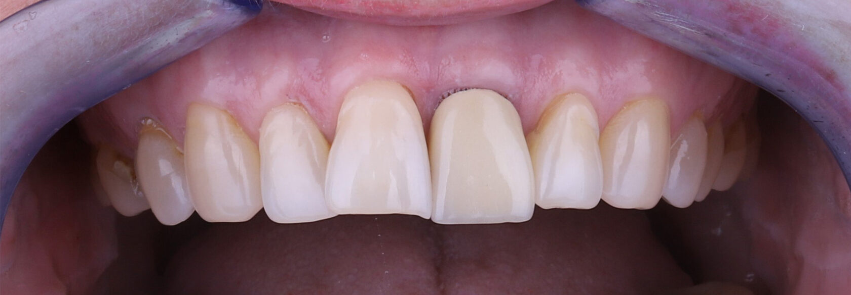
Комплексное восстановление переднего зуба после травмы с использованием импланта Осстем и протезированием с коронкой Emax
Восстановление резца после травмы с имплантацией Straumann и одномоментным протезированием временной коронкой
Восстановление зубного ряда с помощью имплантов Straumann и циркониевых коронок
Перепротезирование верхней челюсти по протоколу "Все на 6 имплантах"
Установка имплантов на верхнюю челюсть по хирургическому шаблону
Установка имплантов Osstem на верхнюю челюсть
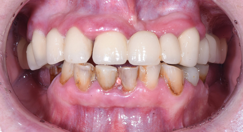
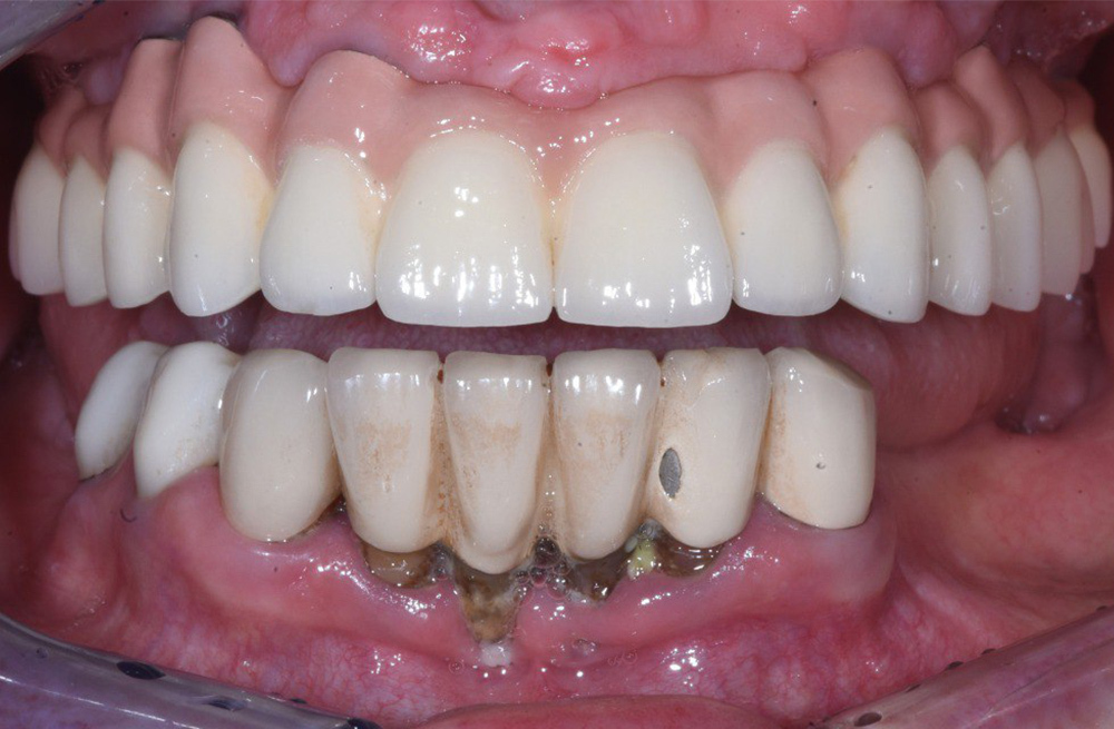
Эстетическая реабилитация винирами при генерализованной стираемости зубов
Имплантация верхней и нижней челюстей на 6 имплантах
Тотальное восстановление зубов обеих челюстей
Восстановление зубных рядов после частичной адентии имплантацией и протезированием цирконием
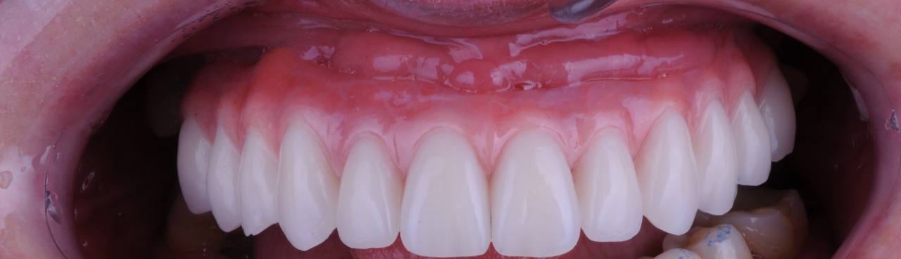
Эстетическая реабилитация зоны улыбки