Примеры работ
Восстановление зуба при кариесе на внешней стороне зуба у десны
Устранение кариозного разрушения дентина на верхней челюсти с полным восстановлением формы зуба
Лечение кариеса дентина у пациента, готовящегося к ортодонтии
Композитная реставрация при кариозном поражении нижнего моляра, чувствительного к сладкому
Устранение застревания пищи в боковом резце верхней челюсти при помощи адгезивной реставрации
Избавление от кратковременной боли от термических раздражителей путём композитной реставрации
Восстановление жевательного зуба при кариозном поражении на боковой стенке
Устранение кариозного поражения в пределах дентина с реставрацией композитным материалом
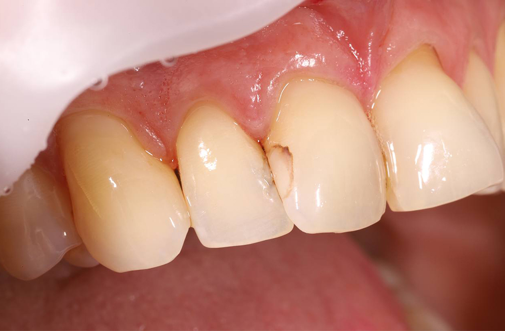
Восстановление целостности сколотой стенки зуба с сохранением анатомии
Реставрация жевательного зуба с устранением кариеса в фиссурах
Устранение чувствительности к сладкому путем лечения кариеса дентина и новой реставрации
Решение проблемы застревания еды путем лечения кариеса дентина и замены реставрации
Своевременное лечение повторного кариеса с заменой несостоятельной пломбы
Воссоздание анатомии клыка после травматического скола методом художественной реставрации
Устранение кариеса на боковом пункте моляра с послойным моделированием и полировкой пломбы
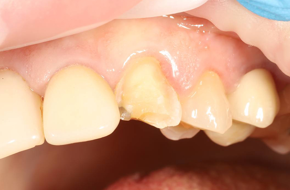
Эстетическая реставрация переднего зуба для устранения видимого дефекта
Восстановление жевательного зуба после скола старой пломбы
Реставрация сколотого зуба методом послойного нанесения пломбы
Устранение температурной чувствительности зуба и его функциональное восстановление современными материалами
Композитное восстановление жевательной поверхности после удаления межзубного кариеса
Лечение скрытого кариеса на контактной поверхности с установкой композитной пломбы
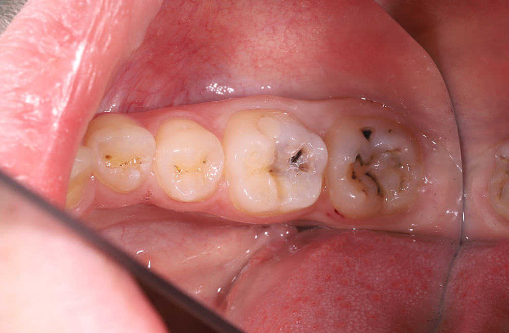
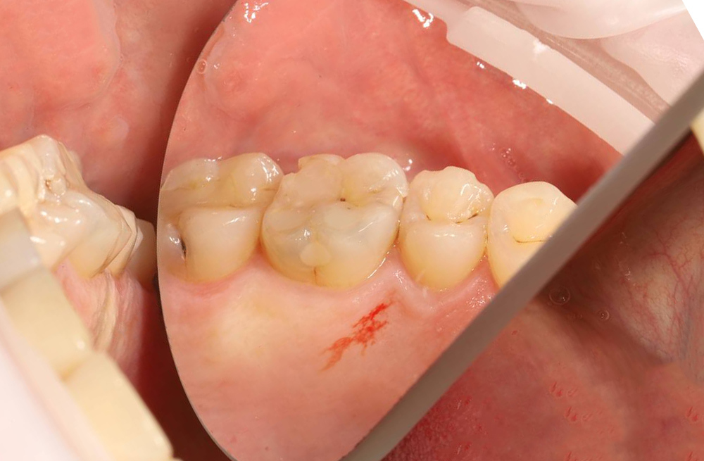
Композитная реставрация жевательных зубов при кариозном поражении
Устранение кариозного поражения зуба с применением коффердама и композитной реставрации
Препарирование и реставрация 36 зуба при вторичном кариесе с надежной изоляцией и полировкой пломбы
Лечение контактного кариеса передних зубов
Избавление от кариеса зубов нижней челюсти с применением композита Гармонайз А3
Лечение кариеса дентина композитным материалом Harmonize A3,5
Восстановление жевательной поверхности материалом Harmonize A3
Реставрация зуба композитным материалом Harmonize A3