Примеры работ
Пломбирование кариозного дефекта коренного зуба с сохранением здоровых тканей
Герметизация фиссур первого постоянного моляра у шестилетней девочки с неудовлетворительной гигиеной
Защита ослабленного молочного зуба металлической коронкой после эндодонтического лечения
Лечение осложнённого кариеса молочного зуба в условиях ЗАКС и протезирование коронкой
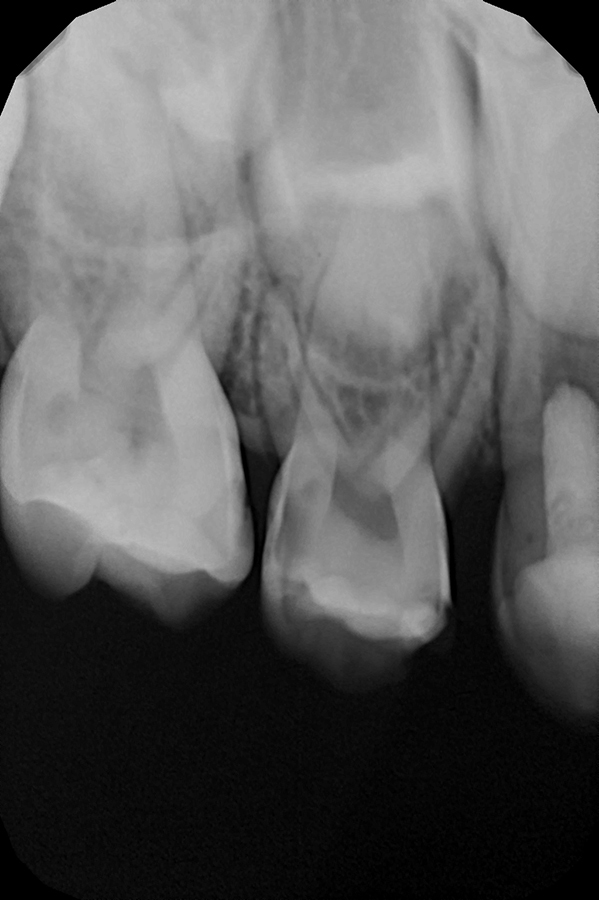
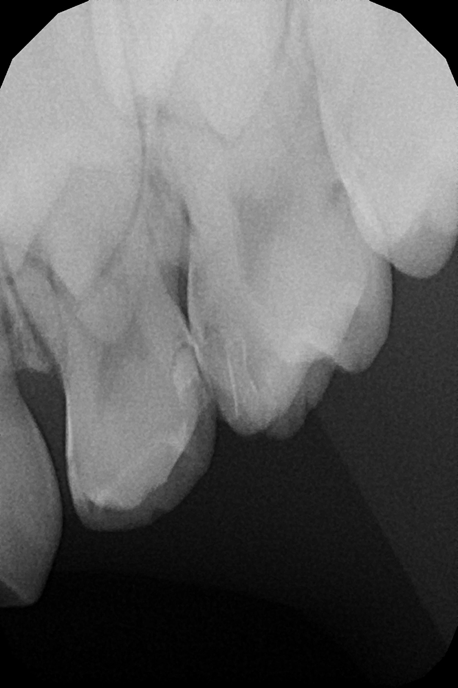
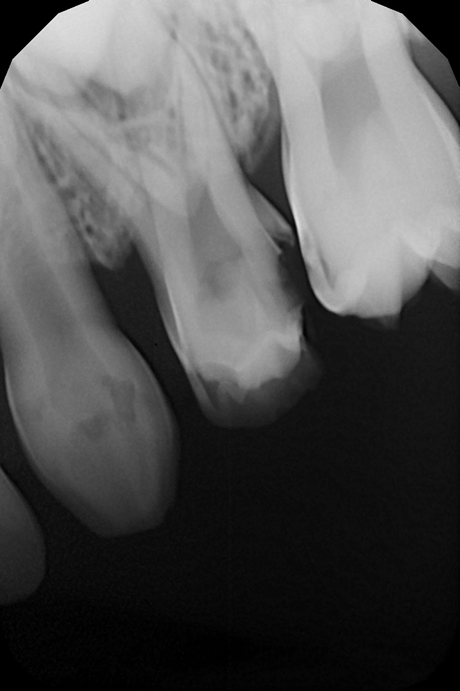
Диагностика и лечение скрытого кариеса на постоянном зубе у семилетнего ребёнка
Лечение кариеса дентина молочного зуба с применением композита
Реставрация молочного зуба композитным материалом после лечения межзубного кариеса у ребёнка
Своевременное лечение кариеса постоянного зуба у подростка без жалоб
Удаление мягкого и пигментированного налёта у подростка с использованием Air-flow
Случай раннего лечения кариеса без жалоб у ребёнка с последующей санацией полости рта
Лечение за один визит, где один зуб спасли коронкой, а соседний восстановили пломбой
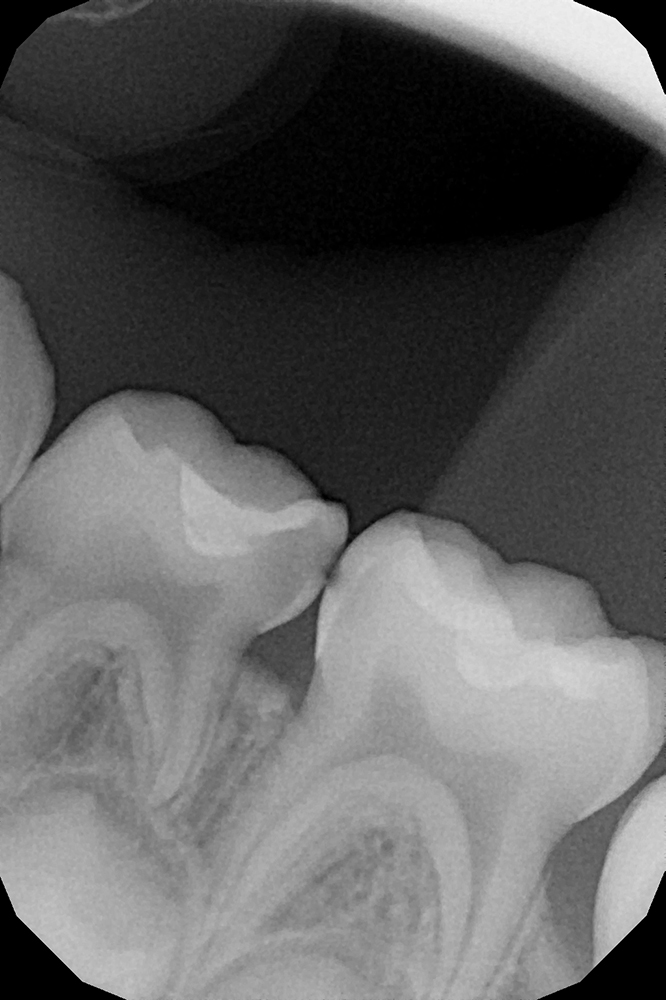
Лечение кариеса на жевательной поверхности постоянного зуба у подростка
Как мы вылечили пульпит и сохранили молочный зуб у ребёнка 5 лет
Преимущество ранней диагностики в лечении кариеса молочного зуба у ребёнка до появления боли
Как мы сохранили молочный зуб коронкой после лечения сложного пульпита у ребёнка под ЗАКС
Восстановление жевательного зуба композитной пломбой с учётом анатомии и цвета эмали
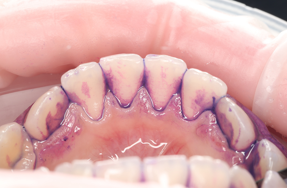
Эффективная чистка зубов с ортодонтическими конструкциями под контролем стоматолога
Лечение осложнённого контактного кариеса с установкой долговечной коронки
Установка пломбы при кариесе жевательного зуба у ребёнка
Композитная реставрация зуба при среднем кариесе у ребёнка школьного возраста
Детское лечение пульпита без боли с сохранением зуба
Детская чистка зубов с профессиональным уходом ребёнку 10 лет
Восстановление молочного зуба у ребёнка после глубинного кариеса дентина
Чистка зубов Air Flow у ребёнка для профилактики кариеса
Удаление среднего кариеса с пломбированием зуба композитным материалом
Профессиональная гигиена и обучение домашнему уходу за зубами с помощью технологии Air Flow
Восстановление жевательной поверхности постоянного зуба после кариозного разрушения у подростка
Комплексное восстановление молочных зубов при кариесе и пульпите у ребёнка 4х лет
Эстетическая реставрация постоянного зуба при кариесе дентина
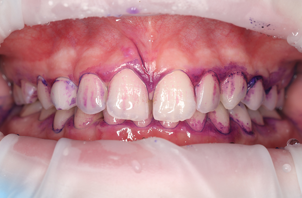
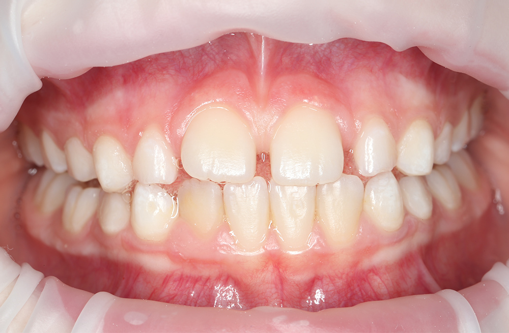
Лечение межзубного кариеса у ребёнка с последующим восстановлением анатомической формы зубов
Первая профессиональная гигиена полости рта у ребёнка с использованием Air Flow
Восстановление зуба коронкой после лечения пульпита
Сохранение зуба при обратимом пульпите
Профессиональная чистка зубов Air Flow с диагностикой и планированием лечения кариеса
Восстановление молочного зуба с помощью коронки при пульпите
Плановая стоматологическая гигиена для подростка 12 лет
Лечение и восстановление зубов во сне за один визит ребенку 6 лет
Профессиональная чистка зубов подростку 13 лет
Композитное восстановление 55 зуба при кариесе у ребенка
Восстановление зуба подростку при кариесе дентина пломбировочным материалом Harmonize A2
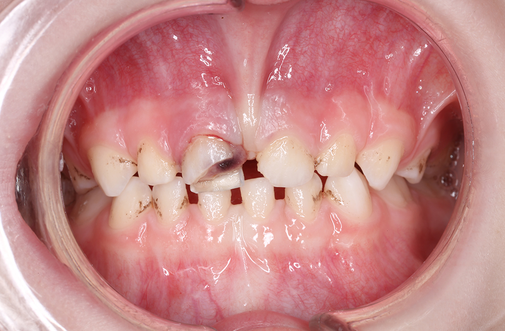
Гематома на десне при прорезывании зуба у ребенка
Удаление поврежденного зуба маленькому пациенту
Профилактика кариеса у ребенка через герметизацию
Пломбирование зубов подростку с использованием композита Harmonize A2
Лечение хронического пульпита с установкой коронки на зуб ребенку
Плановое восстановление 65 зуба у 8-летней пациентки с применением Harmonize A2
Восстановление зуба композитным материалом ребенку 7 лет
Профессиональная чистка зубов с ретейнерами подростку 14 лет
Лечение кариеса жевательного зуба ребенку 11 лет
Профгигиена, лечение кариеса композитным материалом ребенку 7 лет
Лечение среднего кариеса подростку 14 лет с применением пломбировочного материала Гармонайз
Лечение среднего кариеса постоянного зуба ребенку 8 лет