Примеры работ
Восстановление зуба при кариесе под десной с устранением реакции на раздражители
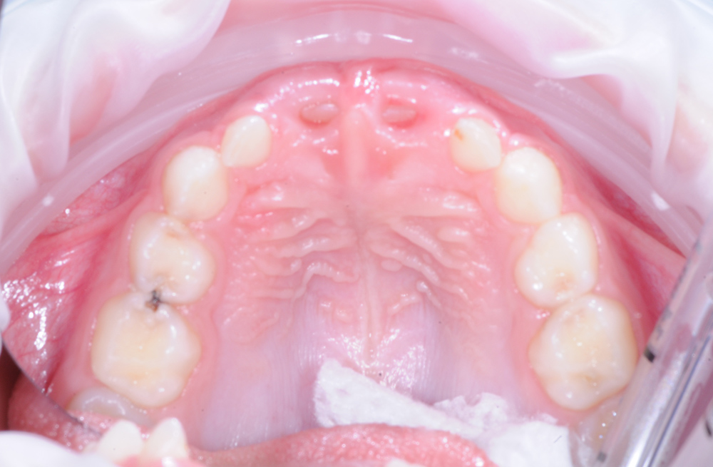
Лечение глубокого кариеса жевательных зубов под микроскопом с сохранением нерва и восстановлением контактного пункта
Замена старой пломбы и лечение скрытого кариеса контактной поверхности зуба
Лечение кариеса моляра и эндодонтия премоляра с последующей подготовкой к ортопедическому этапу
Точная диагностика и качественная реставрация при глубоком кариозном поражении моляра и премоляра
Замена негерметичной пломбы после диагностики скрытого кариеса в жевательном зубе
Замена негерметичной пломбы после диагностики скрытого кариеса в жевательном зубе
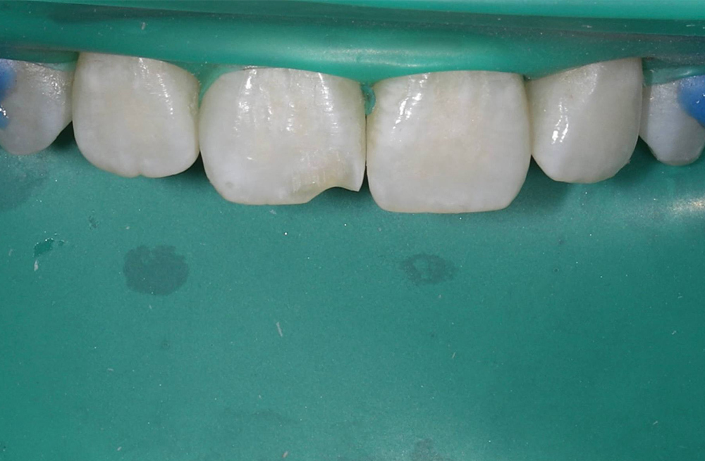
Восстановление сколотого края центрального резца композитомпри травматическом переломе коронки
Устранение застревания пищи между зубами путём замены старых несостоятельных пломб
Удаление негерметичной пломбы и лечение вторичного кариеса зуба с поражением глубоких слоёв дентина
Замена негерметичной старой пломбы и лечение кариеса на соседнем зубе у подростка с жалобами на боль от сладкого
Восстановление отколотого переднего зуба у подростка за один визит
Минимально инвазивное восстановление трех зубов при скрытом кариесе и дефекте пломбы
Восстановление скола переднего зуба после травмы у подростка
Замена некачественной пломбы и лечение глубокого кариеса перед ортодонтическим лечением
Лечение множественного кариеса и пульпита во сне у девочки 7 лет, которая боялась лечить зубы