Примеры работ
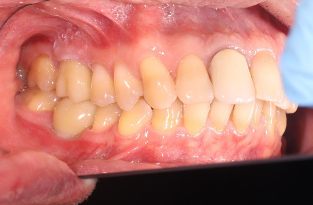
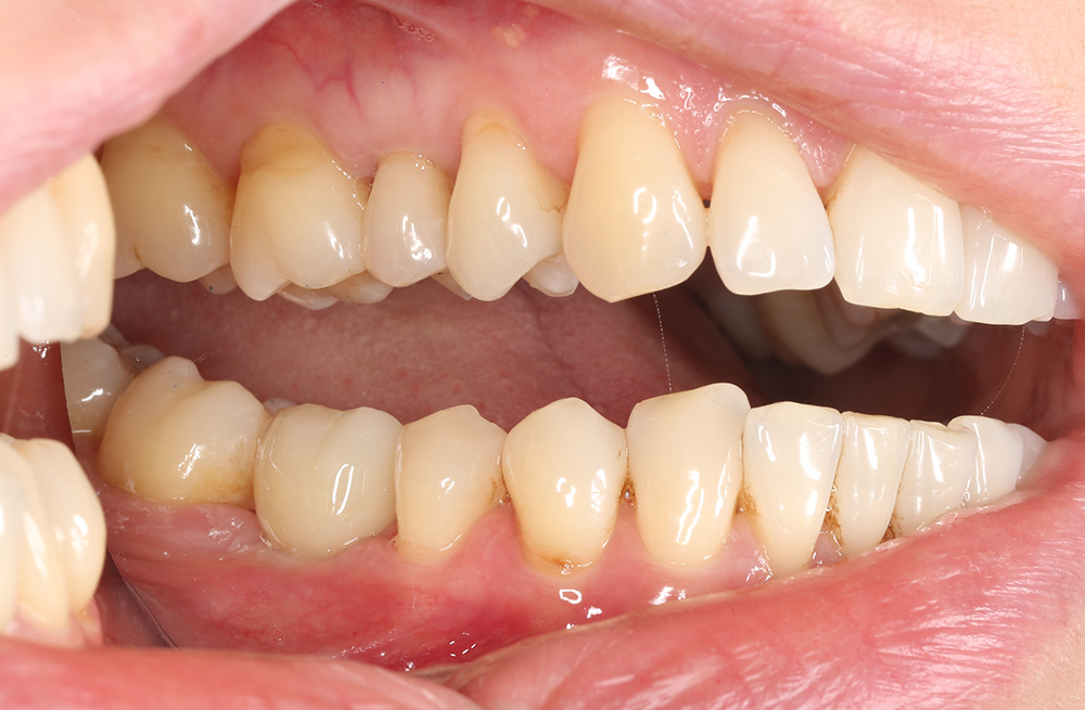
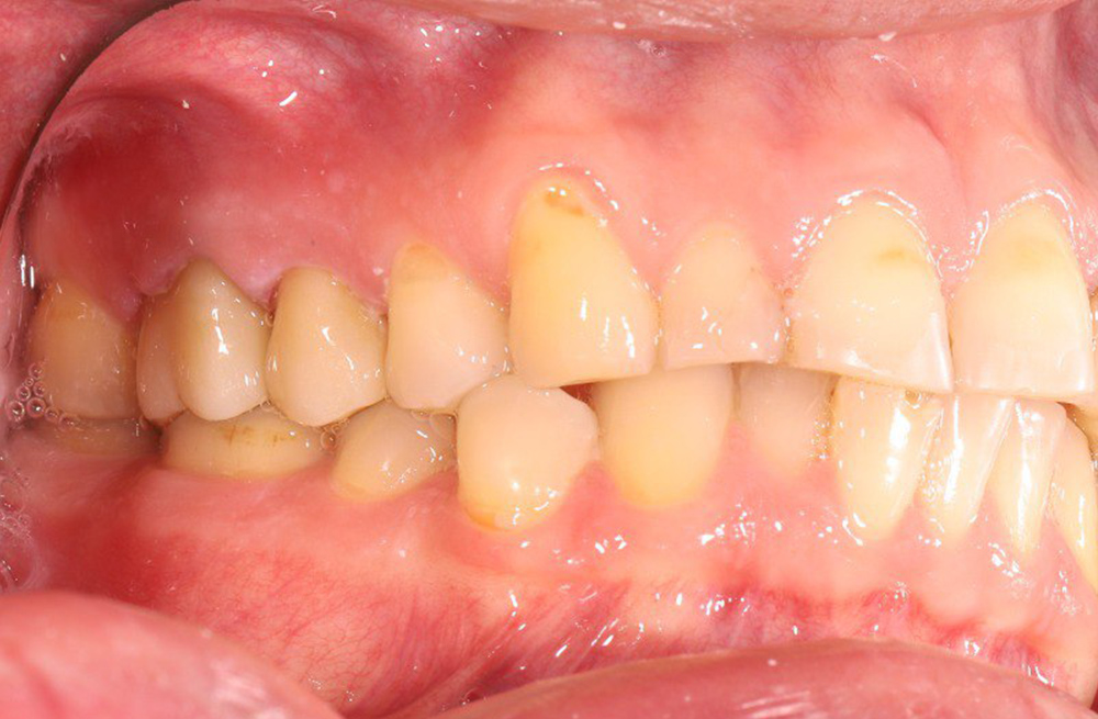
Протезирование на имплантах с установкой циркониевого моста пациенту после перенесённого лечения пародонта
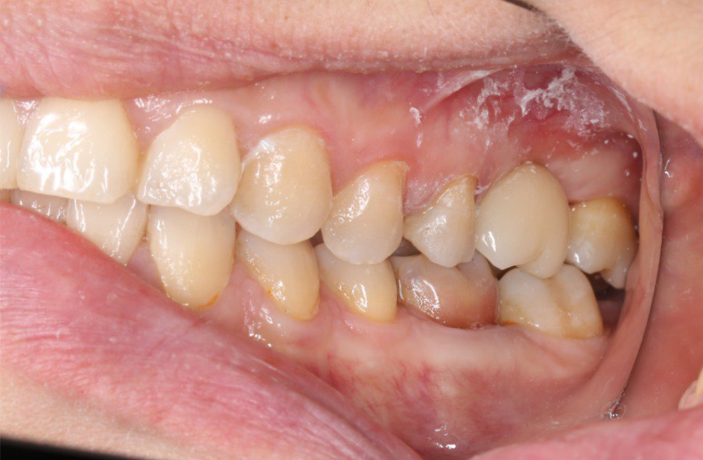
Установка дентального импланта и винтовой циркониевой коронки при вторичной адентии зуба
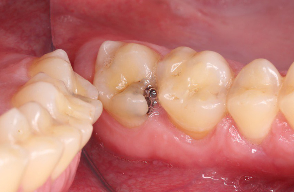
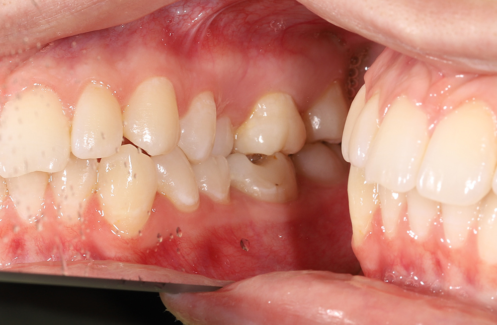
Сохранение жевательного зуба при периодонтите с помощью эндодонтии и коронки из циркония
Лечение последствий хронического периодонтита имплантацией и циркониевой реставрацией
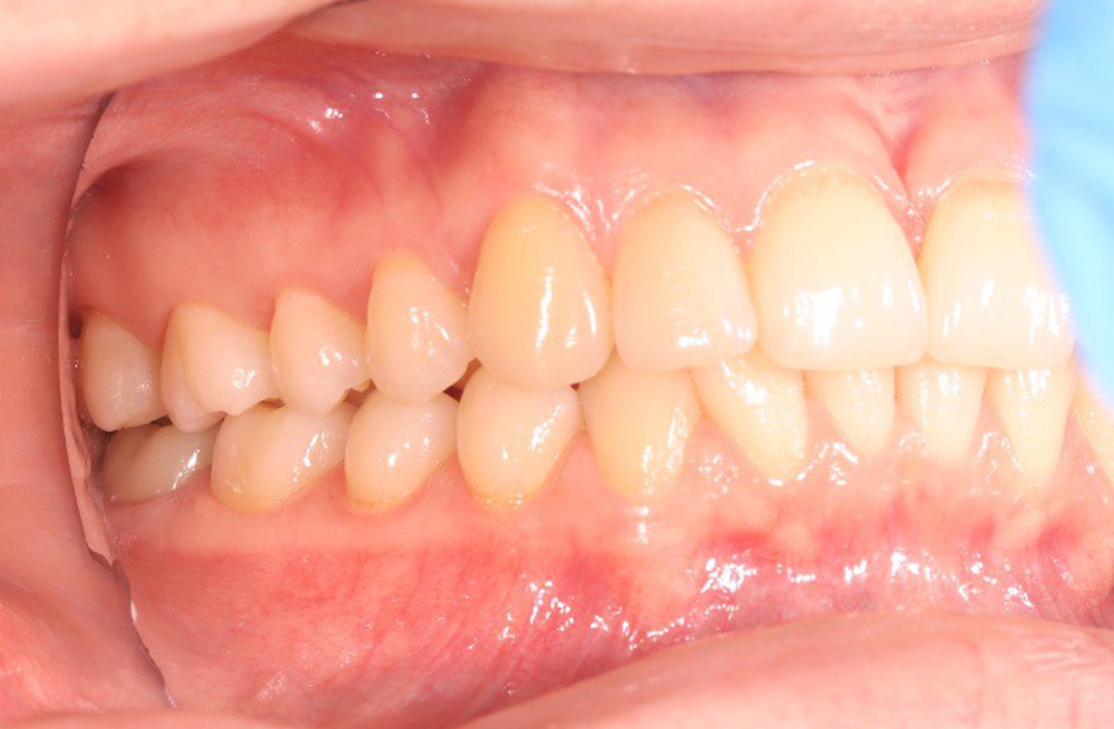
Лечение вторичной адентии зуба методом имплантации с установкой циркониевой коронки на винтовой фиксации
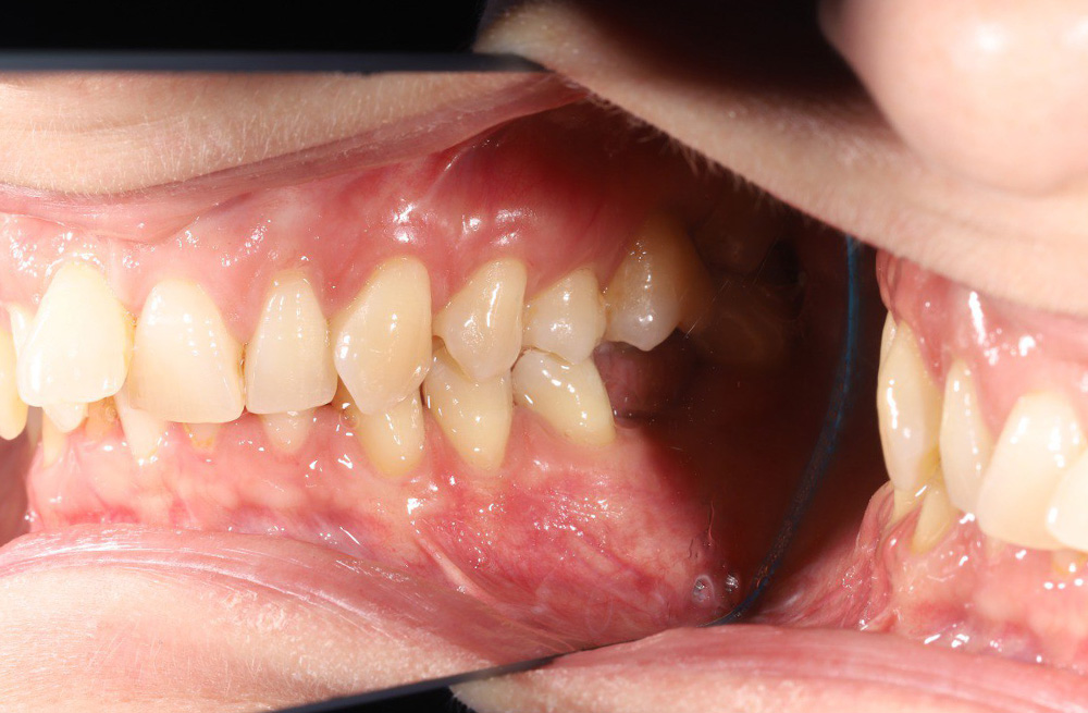
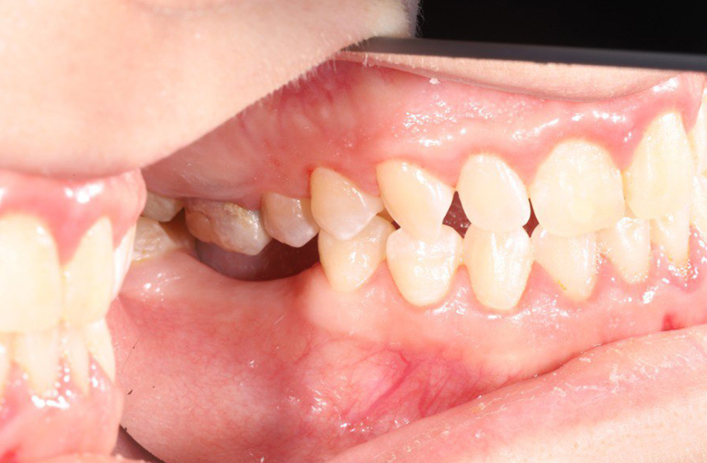
Клинический случай спасения зуба с обширным сколом через лечение корневых каналов и протезирование
Замена разрушенных зубов на имплантаты и циркониевые конструкции в зоне жевания
Протезирование жевательных зубов на имплантах циркониевыми коронками
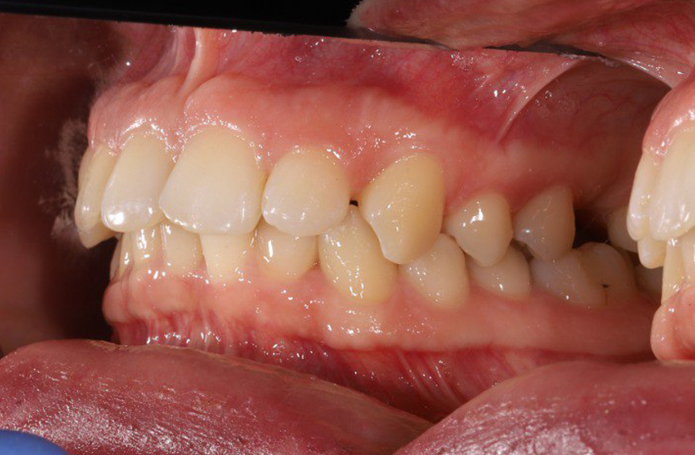
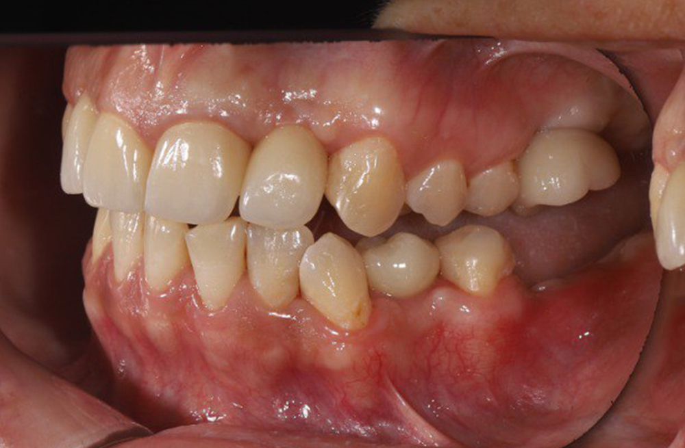
Устранение контактного дискомфорта между зубами с помощью протезирования коронками
Установка импланта в область удалённого зуба завершённая коронкой на винтовой фиксации
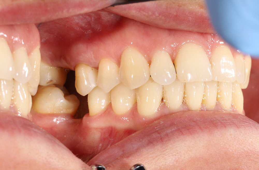
Удаление повреждённого жевательного зуба с имплантацией и реставрация соседнего зуба циркониевой коронкой
Решение эстетической проблемы 15 зуба с одновременной имплантацией 16 зуба и протезированием
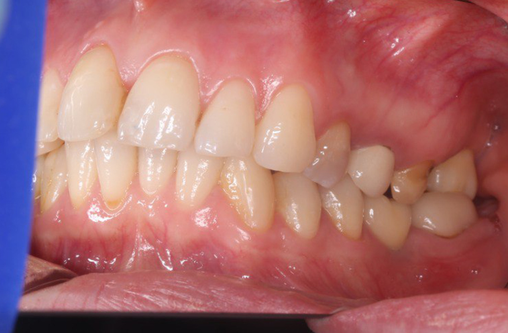
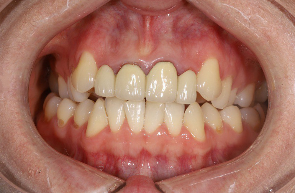
Замена устаревших металлокерамических коронок на циркониевые для улучшения внешнего вида и функции
Восстановление зуба после длительного отсутствия через имплантацию и протезирование коронкой
Реабилитация зубного ряда после удаления зуба, пораженного периодонтитом,с помощью синус-лифтинга и имплантации
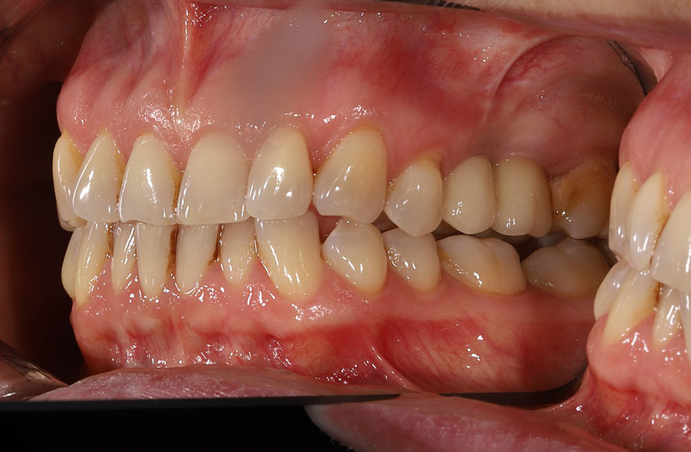
Лечение периодонтита с последующим протезированием зубов коронками из диоксида циркония
Эффективное протезирование зуба с одномоментной имплантацией и циркониевой коронкой
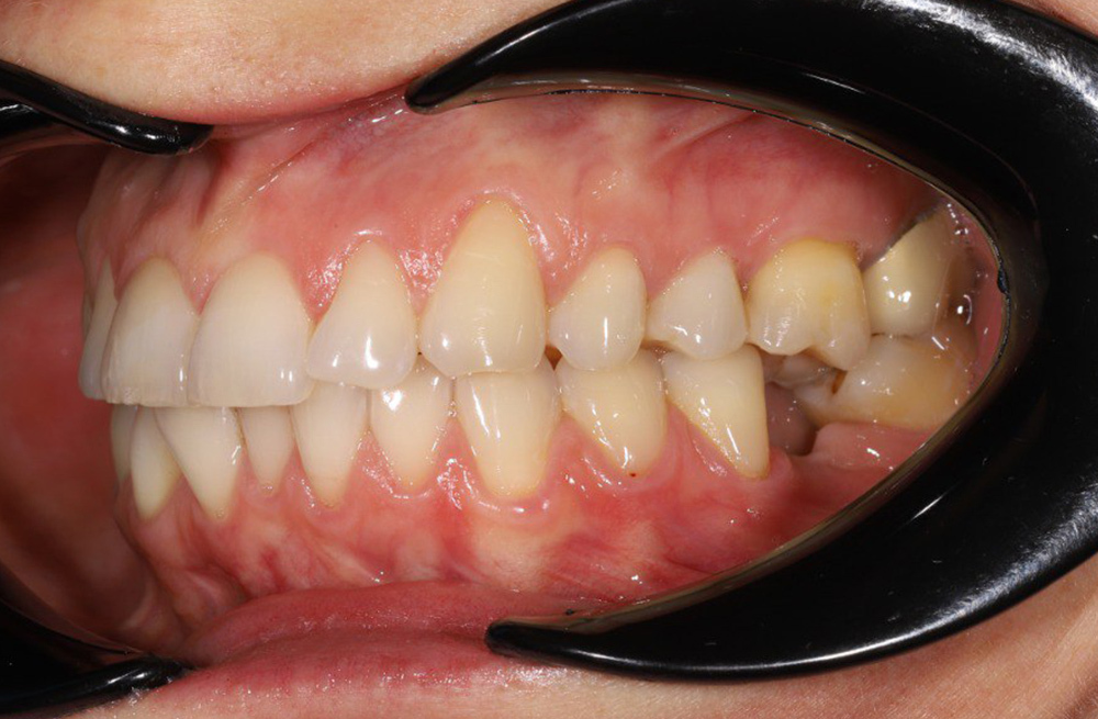
Установка циркониевых коронок в процессе имплантации зубов верхней и нижней челюсти
Протезирование зуба с заменой коронки на импланте
Восстановление функции зуба при частичной вторичной адентии с использованием формирователя десны и циркониевой коронки
Протезирование коронками с использованием имплантов на месте удаленных зубов
Восстановление разрушенного зуба с помощью одномоментной имплантации и циркониевой коронки
Имплантация зубов с последующим протезированием на имплантах
Имплантация зубов верхней челюсти (фронтальных и жевательных)